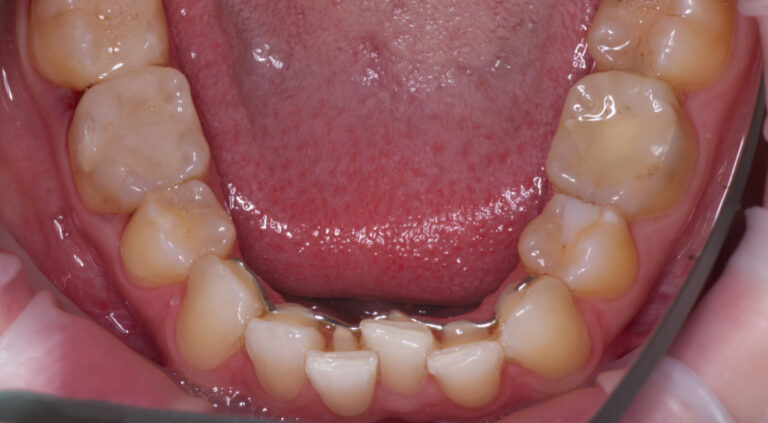
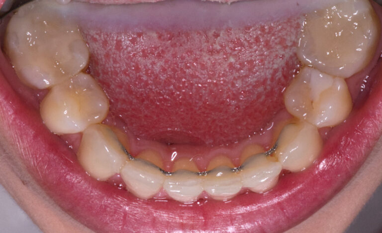
Kieferorthopädie, Zahnspange

 

5 Monate

Von Behandlungsbeginn bis Ende.

 

Vorher


Nachher

Retainer unsichtbar verklebt, um das Behandlungsergebnis dauerhaft zu halten.